You're likely already infected with a brain-eating virus you've never heard of
Airfind news item
By Beth Mole
Published on March 20, 2026.
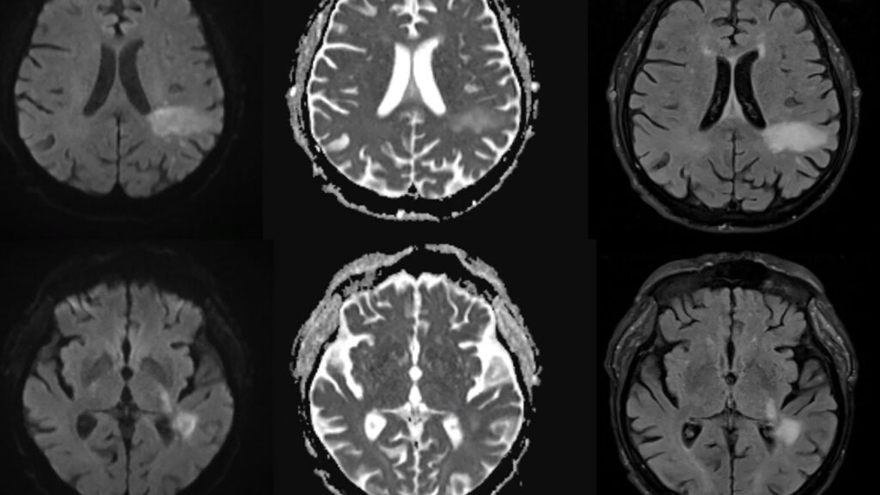
The human polyomavirus 2, or JC virus, is known as a silent killer virus that infects up to 90% of people and causes a disease called progressive multifocal leukoencephalopathy (PML), which can cause severe symptoms such as speech impairments, visual defects, motor dysfunction, and seizures. Researchers have found a new way for this virus to activate, potentially affecting up to 10% of adults worldwide. The JC virus invades the brain, destroying specific brain cells, leading to extensive demyelination and death.
Read Original Article